تبييض الأسنان
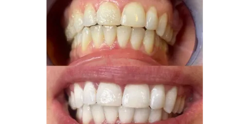
تبييض الاسنان هي خدمة طب الاسنان التجميلية الشائعة التي تعمل على تحسين سطوع ومظهر ابتسامة الشخص. يتم البحث عن هذا الإجراء بشدة لقدرته على تحسين المظهر الجمالي للأسنان التي أصبحت متغيرة اللون بمرور الوقت بسبب عوامل مختلفة مثل القهوة والشاي والتبغ وبعض الأدوية.
تتضمن عملية تبييض الاسنان عادة تطبيق عامل تبييض، عادة بيروكسيد الهيدروجين أو بيروكسيد الكارباميد، على الأسنان. يعمل هذا العامل على تحطيم البقع على المستوى الجزيئي، مما يؤدي إلى تفتيح لون المينا والكشف عن ابتسامة أكثر بياضًا وحيوية. يمكن إجراء هذا الإجراء في عيادة طب الاسنان، حيث يمكن لطبيب الاسنان استخدام تركيزات أعلى من عوامل التبييض للحصول على نتائج أسرع وملحوظة. يتضمن هذا العلاج الاحترافي غالبًا استخدام ضوء أو ليزر معين يعمل على تسريع عملية التبييض وتعزيز الفعالية وتقليل وقت العلاج.
يعتبر تبييض الاسنان آمنًا بشكل عام عندما يتم إجراؤه تحت إشراف طبيب الاسنان. ومع ذلك، فهو ليس مناسبًا للجميع. على سبيل المثال، الأفراد الذين يعانون من أمراض اللثة، أو تآكل المينا، أو التجاويف، أو ترميمات الاسنان مثل الحشوات والتيجان قد لا يكونون مرشحين جيدين لهذا العلاج. يجب على المرضى إجراء فحص للأسنان قبل تبييض الاسنان لضمان السلامة والفعالية المثلى.
في حين أن تبييض الاسنان يمكن أن يحسن الابتسامة بشكل كبير، إلا أن النتائج ليست دائمة. ستؤثر خيارات نمط الحياة والعادات الغذائية وممارسات نظافة الفم على مدة استمرار تأثيرات التبييض. يمكن أن تساعد اللمسات المنتظمة ونظافة الفم الجيدة في الحفاظ على البياض لفترات طويلة.
بشكل عام، يعد تبييض الاسنان خدمة مباشرة وغير جراحية يمكنها تعزيز الثقة والمساهمة في الحصول على ابتسامة أكثر صحة، مما يجعلها واحدة من أكثر علاجات الأسنان التجميلية شيوعًا المتاحة اليوم.
Our story
إليك بعض الأسئلة الشائعة التي قد تكون لديك
ما هو تبييض الأسنان؟
هو إجراء يهدف إلى إزالة البقع والتصبغات من الأسنان، مما يجعلها أكثر إشراقًا.
هل التبييض آمن؟
نعم، إذا تم تحت إشراف طبيب أسنان، فإن إجراءات التبييض آمنة وفعالة.
كم تستغرق جلسة التبييض؟
غالبًا ما تستغرق جلسة التبييض ما بين 30 دقيقة إلى ساعة واحدة، حسب الطريقة المستخدمة.
هل نتائج التبييض تدوم؟
يمكن أن تستمر النتائج لعدة أشهر، لكن العناية الجيدة بالفم وتجنب الأطعمة الملونة تساعد في الحفاظ على البياض.
ما هي الأشياء التي قد تفسد جلسة التبييض؟
- تناول الأطعمة والمشروبات الملونة: مثل القهوة، الشاي، الصلصات الحمراء، والتوت.
- التدخين: يؤدي إلى تصبغ الأسنان.
- عدم اتباع تعليمات الطبيب: مثل استخدام منتجات تبييض إضافية دون استشارة.
- عدم الحفاظ على نظافة الفم: مما قد يؤدي إلى تراكم البكتيريا.
هل هناك آثار جانبية؟
قد يشعر البعض بحساسية الأسنان بعد التبييض، ولكنها غالبًا ما تكون مؤقتة.

