الحشوات التجميلية
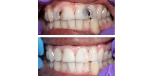
الحشوات التجميلية تمثل تقدمًا حديثًا في علاجات ترميم الاسنان. أنها توفر بديلاً أكثر جمالية للحشوات المعدنية التقليدية. هذه الحشوات مصنوعة من الراتنج المركب أو البورسلين، وهي مصممة لتتناسب مع اللون والملمس الطبيعي للأسنان، مما يجعلها غير مرئية تقريبًا وتعزز المظهر العام لابتسامة الشخص.
إن الوظيفة الأساسية للحشوات التجميلية هي استعادة بنية ووظيفة الاسنان المتضررة بسبب التسوس. تبدأ العملية بإزالة مادة الأسنان المتحللة أو التالفة. يتم بعد ذلك تنظيف المنطقة وتحضيرها للحشوة. يتم تطبيق الراتنج المركب، وهو المادة الأكثر شيوعًا للحشوات التجميلية، على شكل طبقات. يتم تقوية كل طبقة تحت ضوء خاص قبل إضافة الطبقة التالية، مما يضمن رابطة قوية واستعادة دائمة. بمجرد وضع الحشوة في مكانها، يتم تشكيلها وصقلها لتتناسب مع محيط السن، مما يؤدي إلى تكامل سلس قد يصعب تمييزه عن مينا الأسنان الطبيعية.
لا يتم اختيار الحشوات التجميلية لصفاتها الجمالية فحسب، بل لفوائدها الوظيفية أيضًا. يرتبط الراتينج المركب مباشرة ببنية السن، مما يساعد على دعم مادة السن المتبقية، مما يقلل من خطر الكسر ويعزل السن من التغيرات المفرطة في درجات الحرارة. هذا الترابط المباشر يقلل أيضًا من الحاجة إلى تحضير الأسنان بشكل مكثف، مما يحافظ على بنية الأسنان الطبيعية.
بالإضافة إلى علاج التجاويف، يمكن للحشوات التجميلية أن تحسن مظهر الاسنان المشوهة أو ذات الشكل السيئ. يتم تطبيقها أحيانًا كحل تجميلي لتغطية البقع أو إغلاق الفجوات الصغيرة أو تصحيح الاختلالات الطفيفة حيث يكون تقويم الأسنان غير ضروري.
المرضى الذين يختارون الحشوات التجميلية يقدرون الفوائد الصحية وتعزيز الثقة من خلال ابتسامة أكثر طبيعية.
Our story
مميزات الحشوات التجميلية
مميزات الحشوات التجميلية
تُعتبر الحشوات التجميلية خيارًا شائعًا في طب الأسنان، ولها العديد من المميزات التي تجعلها تبرز كخيار مفضل بين المرضى. إليك بعض هذه المميزات:
المظهر الطبيعي: تصنع الحشوات التجميلية من مواد مثل الراتنج المركب، مما يسمح بتطابق لونها مع لون الأسنان الطبيعية، مما يعطي مظهرًا جماليًا.
المرونة: يمكن تشكيل الحشوات التجميلية بسهولة لتتناسب مع شكل السن، مما يساعد في استعادة الشكل الطبيعي للأسنان.
عدم التأثير على الأسنان المجاورة: على عكس بعض أنواع الحشوات التقليدية، لا تتطلب الحشوات التجميلية إزالة الكثير من بنية السن السليمة، مما يحافظ على الأسنان المجاورة.
المتانة: رغم أنها قد لا تكون قوية مثل الحشوات المعدنية، إلا أن الحشوات التجميلية تقدم مستوى جيد من المتانة، خاصة للسن الأمامي.
مقاومة التلوين: حشوات الراتنج المركب مقاومة للتلوين، مما يعني أنها تحتفظ بمظهرها الجمالي لفترة أطول.
الراحة: تعتبر الحشوات التجميلية أكثر راحة للمرضى، حيث لا تسبب حساسية كما قد تفعل بعض الحشوات المعدنية.
علاج فعال لتسوس الأسنان: تقدم الحشوات التجميلية حلاً فعالًا لتسوس الأسنان، مما يساعد في استعادة الصحة الوظيفية للأسنان.
إذا كنت تبحث عن حل جمالي وفعال لعلاج تسوس الأسنان، فإن الحشوات التجميلية تعتبر خيارًا ممتازًا. تواصل معنا لمزيد من المعلومات أو لاستشارة حول خياراتك!


